Krampfadern der unteren Extremitäten: Symptome, Fotos und Behandlung tiefer Venen.

Tiefe Krampfadern sind eine sehr unangenehme und durchaus gefährliche Schädigung der venösen Gefäße des Kreislaufsystems.

Krampfadern der tiefen Venen der unteren Extremitäten sind eine Pathologie, die sich auf die Gefäße erstreckt, die die Muskelstrukturen der Beine durchziehen. Die Verlängerung und Erweiterung venöser Gefäße beeinträchtigt den Blutfluss erheblich und provoziert das Auftreten und Fortschreiten einer Thrombose.

Die Gefahr dieser Erkrankung liegt in der hohen Wahrscheinlichkeit, dass ein in der Gefäßwand gebildetes Blutgerinnsel aufreißt und in die Lungenarterie transportiert wird.

Beim Auftreten dieser Krankheit kommt es zu einem irreversiblen Prozess der Verlängerung und Erweiterung der venösen Gefäße. Mit fortschreitendem Prozess kommt es zu einer Ausdünnung der Venenwand und zur Bildung von Knoten, die den freien Bluttransport durch die Gefäße verhindern.

Am häufigsten sind Menschen im Alter von 30 bis 40 Jahren oder älter für diese Krankheit anfällig.

Ursachen für die Entstehung von Krampfadern der tiefen Venen der unteren Extremitäten.

Die Ursachen für das Auftreten und die Entwicklung der Krankheit können verschiedene ungünstige Faktoren sein. Krampfadern der tiefen Venen sind das Ergebnis einer schwerwiegenden Veränderung des Blutkreislaufs in einem bestimmten Bereich der unteren Extremitäten.

Mit fortschreitender Krankheit kann der Patient an der Stelle, an der die Durchblutungsprozesse gestört sind, trophische Geschwüre entwickeln, die das Auftreten von Gangrän auslösen können, einem Zustand, der eine Amputation des betroffenen Teils der Extremität erfordert.

Darüber hinaus können Krampfadern zu einer Verformung der Muskulatur der unteren Extremitäten führen und die Bildung eines Blutgerinnsels mit anschließender Ablösung und Weiterleitung in die Lungenarterie kann zum Tod führen.

Die wichtigsten Faktoren, die zum Auftreten der Störung und ihrem Fortschreiten beitragen, sind folgende:

  • das Vorhandensein einer genetisch bedingten erblichen Veranlagung, die zu angeborenen Pathologien und einer Schwäche der Zellen der Wände venöser Gefäße führt;
  • Geschlecht – Frauen werden viel häufiger krank als Männer, was mit dem Auftreten hormoneller Veränderungen während der Schwangerschaft, dem Beginn der Wechseljahre und bei der Einnahme von Hormonpräparaten und Verhütungsmitteln verbunden ist;
  • das Vorhandensein eines erhöhten Venendrucks beim Patienten als Folge einer verminderten Beweglichkeit und einer Zunahme des Grades der statischen Überlastung, wenn sich der Körper über einen längeren Zeitraum in aufrechter Position befindet und übergewichtig ist;

Darüber hinaus können die Ursachen der Krankheit sein:

  1. Regelmäßige Erhöhung der Belastung der Extremitäten.
  2. Schwerwiegende Veränderungen in der Funktion des Immunsystems.
  3. Ständige Kompression der Blutgefäße in den Beinen beim Tragen enger Schuhe.
  4. Übergewicht oder Fettleibigkeit.
  5. Entwicklung verschiedener Formen von Dermatitis.
  6. Folgen chirurgischer Eingriffe.
  7. Setzen Sie die unteren Extremitäten stärkeren statischen Belastungen aus.
  8. Missbrauch von alkoholischen Getränken und Rauchen.

Darüber hinaus kann Cellulite die Entwicklung einer Pathologie hervorrufen.

Ein Besuch bei einem qualifizierten Phlebologen beim ersten Krankheitsverdacht ermöglicht es Ihnen, die Krankheit rechtzeitig zu erkennen.

Die wichtigsten Anzeichen tiefer venöser Krampfadern.

Krampfadern der tiefen Venen der unteren Extremitäten

Am häufigsten äußert sich die Krankheit im Anfangsstadium des Fortschreitens durch das Auftreten eines leichten Ermüdungsgefühls in den Beinen nach längerer statischer Belastung oder bei einem langen Spaziergang. Darüber hinaus kommt es in dieser Zeit zu einer leichten Schwellung des Gewebes der Extremitäten.

Am häufigsten treten diese Krankheitssymptome am Ende der Tagesstunden auf und verschwinden bei längerer Ruhephase allmählich. Wenn diese Anzeichen auftreten, ist es notwendig, einen Phlebologen zu konsultieren und spezielle Untersuchungen durchzuführen, um das Vorliegen einer Pathologie zu erkennen und abzuklären.

Der Einsatz instrumenteller und labordiagnostischer Methoden ermöglicht es uns, den Grad der Krankheitsentwicklung zu erkennen und eine Entscheidung über den Einsatz einer rechtzeitigen und angemessenen Behandlung der Krankheit zu treffen. Mit fortschreitender Krankheit schreitet sie in fortgeschrittenere Stadien voran, die durch das Auftreten einer breiten Palette von Symptomen und Anzeichen gekennzeichnet sind, die für eine fortschreitende Krankheit charakteristisch sind.

Fortgeschrittene Stadien der Pathologie sind durch das Auftreten der folgenden Symptome gekennzeichnet:

  • das Auftreten starker Schmerzen in den Beinen nachmittags und nachts;
  • das Auftreten einer ständigen Schwellung der Weichteile und Schweregefühl in den unteren Extremitäten;
  • das Vorhandensein einer ständigen Schwellung der Weichteile führt zu einer Vergrößerung der Gliedmaßen;
  • der Patient hat häufig Krämpfe im Wadenbereich, am häufigsten treten diese Phänomene nachts auf;
  • die Haut der betroffenen Stellen nimmt an den Extremitäten eine bläuliche Färbung an;
  • Bei körperlicher Belastung der Beine entstehen Ausstülpungen krankhaft betroffener Venengefäße an Füßen, Oberschenkeln und Beinen.

Das weitere Fortschreiten der Krankheit führt zum Auftreten kleiner Wunden, die lange Zeit nicht heilen können und sich anschließend in trophische Geschwüre verwandeln.

Ohne eine angemessene und rechtzeitige Behandlung kann die Entwicklung der Krankheit für den Patienten tödlich sein. Das Fortschreiten von Krampfadern führt zu einer allmählichen Verformung der Muskelstrukturen und dem Auftreten negativer Veränderungen der Haut- und Knochenmasse.

Bei längerem Fortschreiten entwickelt der Patient Anzeichen eines Ekzems und entwickelt trophische Geschwüre, die sich zu Gangrän entwickeln können. Was zu Sepsis oder Tod führt.

In den von Krampfadern betroffenen Venengefäßen entwickelt sich der Prozess der Thrombusbildung. Durch diesen Vorgang kann das gebildete Blutgerinnsel aufbrechen und durch den Kreislauf transportiert werden.

Wenn ein Blutgerinnsel in die Lungenarterie gelangt, wird diese verstopft und die Person stirbt.

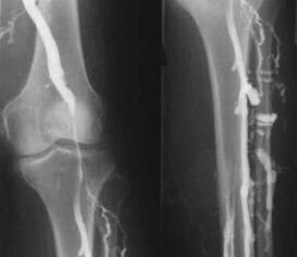
Grundlegende Diagnosemethoden.

Diagnosemöglichkeiten bei Krampfadern der Extremitäten.

Ein erfahrener Phlebologe kann das Vorhandensein von Krampfadern in den tiefen Venen der unteren Extremitäten anhand charakteristischer Symptome feststellen, die selbst auf einem Foto der Beine deutlich sichtbar sind. Die Methoden zur Behandlung der Krankheit werden jedoch individuell nach einer detaillierten Untersuchung des Patienten und unter Berücksichtigung aller individuellen Merkmale seines Körpers ausgewählt.

Um das Vorliegen und das Entwicklungsstadium der Erkrankung zu ermitteln, werden instrumentelle und labordiagnostische Methoden eingesetzt. Zu den Labormethoden gehören allgemeine Blut- und Urintests.

Die gebräuchlichste instrumentelle Diagnosemethode ist die Ultraschalluntersuchung der venösen Gefäße der Beine. Mit dieser Technik können Sie das Gefäßsystem visualisieren und den Fortschrittsgrad des pathologischen Prozesses ermitteln.

Darüber hinaus verschreibt der behandelnde Arzt bei Bedarf:

  1. Phlebographie.
  2. Photoplethysmographie.

Der Einsatz der Venenverschlussplethysmographie ermöglicht die Bestimmung des Blutvolumens in den Venen der unteren Extremitäten.

Erst nach einer vollständigen Untersuchung und Erhalt der Ergebnisse wird dem Patienten eine entsprechende Behandlung verordnet.

Die moderne Medizin bietet mehrere Möglichkeiten zur Behandlung der Krankheit: medikamentös, nicht-medikamentös und chirurgisch.

Gleichzeitig können Sie nach Rücksprache mit Ihrem Arzt alternative und traditionelle Behandlungsmethoden zu Hause anwenden.

Behandlung tiefer venöser Krampfadern.

Der zuverlässigste Weg, die Krankheit zu behandeln, ist eine Operation. Der Einsatz einer medikamentösen Therapie in Form von Tabletten, Spezialsalben und Gelen zur äußerlichen Anwendung kann eine ergänzende Rolle spielen und ist eigentlich eine unterstützende Therapie.

Bei der medikamentösen Therapie werden im Behandlungsprozess verschiedene Arten von Medikamenten eingesetzt: gerinnungshemmende, entzündungshemmende, venotonische und fibrinolytische Wirkung.

Antikoagulanzien verdünnen das Blut und verhindern die Bildung von Blutgerinnseln. Entzündungshemmende Medikamente helfen, entzündliche Prozesse in den Wänden venöser Gefäße zu lindern. Venotonika helfen, den Tonus der Venenwände zu erhöhen, und Fibrinolytika helfen, kleine Blutgerinnsel aufzulösen und das Venenbett zu reinigen.

Durch den Einsatz von Medikamenten verschwinden Krankheitserscheinungen wie Schwellungen meist; Darüber hinaus ist eine Verbesserung des Zustands der oberflächlichen Haut zu beobachten. Die wichtigste Voraussetzung für die Einnahme von Medikamenten ist die strikte Einhaltung der Empfehlungen des Arztes und die Einhaltung der Dosierungen der eingenommenen Medikamente.

Um Krampfadern vollständig zu heilen, wird ein chirurgischer Eingriff empfohlen.

Auch chirurgische Methoden werden eingesetzt, wenn während der medikamentösen Therapie keine positive Dynamik vorliegt.

Die gebräuchlichsten Methoden zur chirurgischen Behandlung von Pathologien sind:

  • Slerotherapie;
  • Phlebektomie;
  • Laserkoagulation.

Bei der Sklerotherapie werden während des Eingriffs spezielle Substanzen eingesetzt: Sklerosierungsmittel, die in das Lumen der betroffenen Vene eingeführt werden und die Gefäßwände verkleben. Mit diesem Verfahren können Sie das venöse Gefäß aus dem Kreislaufsystem entfernen, wodurch die Entwicklung einer Pathologie verhindert wird. Diese Technik wird sehr selten angewendet, wenn eine schwere Form der Störung festgestellt wird.

Bei der Phlebektomie wird der betroffene Bereich eines venösen Gefäßes entfernt. Am häufigsten wird diese Methode zur Identifizierung von Läsionen oberflächlicher Venen verwendet, in einigen Fällen ist sie jedoch auch bei der Behandlung tiefer Venengefäße der Extremitäten anwendbar.

Die Laserkoagulation ist eine Art minimalinvasiver chirurgischer Eingriff und wird mit einem Laser durchgeführt; ermöglicht es Ihnen, den betroffenen Bereich der Vene aus dem Kreislaufsystem zu entfernen, indem Sie die Wände unter dem Einfluss von Laserstrahlung verkleben. Diese Behandlungsmethode wird von den Patienten am positivsten bewertet, da sie praktisch schmerzlos ist und keine lange Erholungsphase erfordert.

Durch den Einsatz chirurgischer Behandlungsmethoden können Sie die charakteristischen Symptome tiefer Krampfadern vollständig beseitigen. Die Wahl der Operationstechnik hängt vom Entwicklungsgrad der Pathologie und den individuellen Merkmalen des Patienten ab und wird vom behandelnden Arzt durchgeführt.